原创读创深圳 2019/04/16 16:49
读创/深圳商报记者 文灿
说起白内障、青光眼,很多人都知道这是导致人失明的疾病,但不知道的是,高血压、糖尿病也有可能导致眼睛失明。成立不到一周年的中山七院眼科,目前接诊的大部分眼疾患者都是高血压、糖尿病患者。近日,他们刚刚救治了一名因为高血压导致眼底出血几近失明的患者。

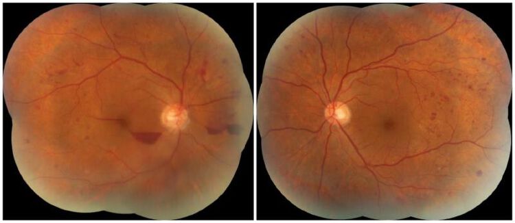
“患者68岁,一边视力0.04,一边才0.01,几乎看不到了。”中山七院眼科主任彭鸿钧介绍,患者刘先生(化名)有高血压,结果两个眼底都出血,出血吸收以后就形成了一个硬性的斑,视网膜坏掉了,黄斑也大量出现,视力严重受损。

彭鸿钧介绍,患者来医院已经是晚期了,但还是努力帮助他恢复视力。医院为刘先生出血的地方打生长因子的药,目前刘先生视力有一边眼睛提高到0.1,这对他生活非常有帮助,出血也止住了,如果不是及时治疗,现在已经失明了。

“老年性的黄斑病变在发达国家是一个主要的致盲病,青光眼和白内障是可以早期进行治疗的,最关键的是老年性黄斑,还有糖尿病造成的视网膜病变,我们这里有大量这样的病人,为什么呢?”彭鸿钧介绍,我国是糖尿病大国,很多人得了糖尿病没有规范进行治疗,久而久之导致糖尿病眼病,最终影响视力,甚至失明。目前在中山七院眼科,每天都要去内分泌科会诊,对于糖尿病患者来说,早期发现眼底病变,及时治疗,可以控制病情发展。

很多糖尿病患者以为吃了降糖药就没问题了,其实对于这类慢性病患者来说,定期看眼科医生,定期筛查非常重要。彭鸿钧表示,糖尿病不是老年人的专利,现在年轻人也有,甚至高血压也在年轻化。所以只要有这些疾病的,都要及时做眼底筛查,目前中山七院眼科配备完善,可以对各种眼疾进行早期的诊断、检查、治疗,包括激光治疗、手术治疗等。
读创编辑文灿