男子肚子里长出“橄榄球”大小的肉瘤

原创读创深圳  2019/07/22 15:04

读创/深圳商报记者 文灿/文 钟华登/图 实习生 莫均 通讯员 江清浩 姜建龙

近日,中山七院何裕隆教授团队成功为一名44岁男性患者实施腹膜后巨大肿物切除术。肿物大小约30×19×15厘米,包绕右肾动静脉,侵及部分膈肌、腰大肌、腰方肌、下腔静脉,与胸、腰神经干关系密切。手术团队抽丝剥茧,顺利游离右肾并保留,部分切除下腔静脉并重建,通过8个多小时的手术,成功摘下一个橄榄球大小的巨大肿物。患者术后恢复良好,目前已康复出院。

检查发现肚子里长出了巨大肿物

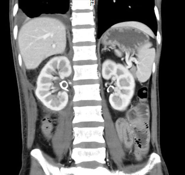
林先生今年4月份起逐渐感觉右侧腹部点闷胀,躺着的时候目测右边肚子比左边的肚子稍高。在粤东当地医院做了腹部CT,竟然发现肚子里长了一个大肿物。当地医院推荐到广州的大医院作进一步检查治疗。在广州,林先生做了PET-CT,发现肿物已长到12.88×11.48×17.15厘米大小,进一步检查了病理,诊断为去分化脂肪肉瘤。

▲4月份CT检查发现巨大肿物,右肾受挤压

去分化脂肪肉瘤是一种高度恶性的肿瘤,手术是主要治疗手段。但是林先生的情况非常特殊,他体内的肿物呈马蹄形,累及了周边多个组织器官,包绕了重要血管,而且肿瘤周边血供非常丰富,稍有不慎很可能危及生命。

由于手术风险太大,林先生辗转多家医院,得到的答复都是“不适合手术”。看着肿瘤一天天长大,林先生和家属都心急如焚。5月底,他的右腹部已经明显隆起,摸起来硬邦邦的,同时出现了腹部胀痛、食欲下降、排便困难等压迫症状。通过多方打听,林先生抱着一丝希望找到中山七院何裕隆教授。

在中山七院,医院组织了输血科、普外科、麻醉科、脊柱科、泌尿外科、血管外科、ICU等多学科会诊,结论是:“风险确实非常大!”“如果我们不为他做手术的话,肿瘤可能会很快危及生命!”何裕隆教授说。最终,何裕隆教授团队决定为患者实施手术,并做好了人工血管吻合、切除右肾并做自体移植等手术预案,进行大量备血。

经过精心准备,64日,何裕隆教授团队为患者进行了手术。术中首先考虑保留包裹的右肾。手术团队从肿物内下方入路,沿包膜将右肾游离出来,所幸包膜分界清晰,未受肿物侵犯。右肾顺利分离并进行保护。

“我们对下腔静脉进行短暂的阻断,切除了残余肿瘤后,又对下腔静脉进行修补重建。”何裕隆教授介绍。最后,手术团队继续使用温蒸馏水1000ml冲洗创面并吸净,彻底止血,同时将右肾置于正常生理部位固定。

从上午9点到下午5点半,手术整整持续了8个半小时,在池信锦、吴昌彬麻醉团队的密切配合下,术中患者生命体征保持平稳。

术后身体各项指标恢复正常

▲术后复查肿物切除干净,右肾回到生理位置

术后,经过短暂的ICU监护和近1个月治疗恢复,林先生能够正常饮食,身体各项指标恢复正常,下肢感觉、运动功能未受到任何影响,出院复查CT显示右肾回到正常生理位置,肿物彻底切除干净,康复出院。出院前,林先生向何裕隆教授团队送来了锦旗,并再三感谢!

何裕隆教授介绍,中山七院作为中山大学直属附属医院,从设立之日起就被定位为建设国家级区域医疗中心,承接疑难危重症是重要任务之一。开业一年到现在,医院收治住院病人超过15000人次,开展各类手术4800余台,三四级疑难手术占比6成,疑难危重收治率达61.46%。不仅创造了“深圳速度”,也体现了“中大水平”。“我们要把中山医高水平医疗的平移到深圳,让深圳市民大病不出深圳。”何裕隆教授说。

出院前,患者送来锦旗

读创编辑文灿