原创读创健康 2019/09/26 17:35
读创/深圳商报记者 文灿 通讯员 胡燕青
3个月前,27岁的汤女士上班时因为地面太滑摔了一跤,左膝盖直接着地,剧痛无比,低头一看,原来是髌骨脱离了原来的位置,立刻到中山七院骨科就诊,情况有所好转。然而,一周前,汤女士再次出现了髌骨脱位,针对这种复发状况,中山七院开展自体移植手术帮助她恢复运动功能。

复发性髌骨脱位常见于青少年
医生介绍,复发性髌骨脱位是一种青少年常见的运动损伤,髌骨会反复向外侧脱位,可继发于严重的首次髌骨脱位,但更常发生于伴有解剖异常的膝关节。通常情况下,轻微外伤即可引起髌骨脱位。
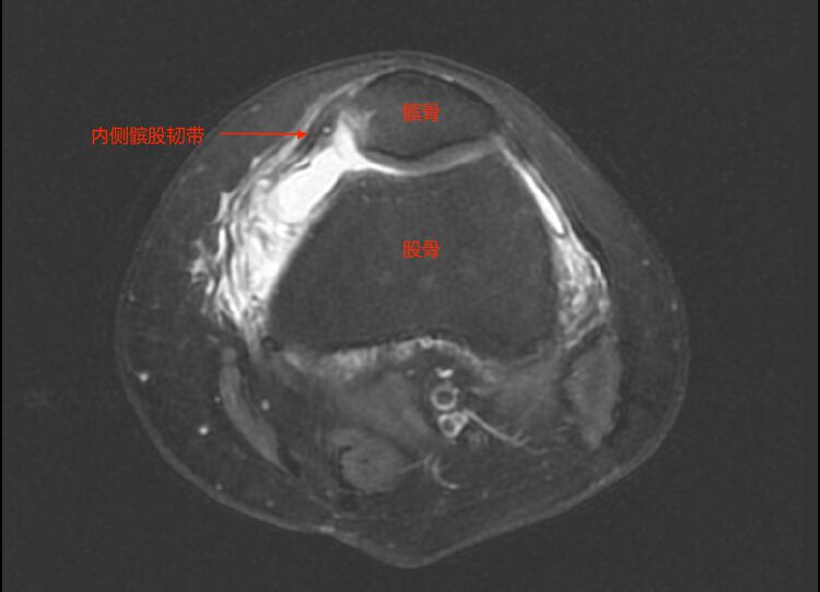
造成复发性髌骨脱位的因素众多,其中,内侧髌股韧带是导致复发性髌骨脱位的主要因素。经检查,汤女士内侧髌股韧带断裂了。
内侧髌股韧带是限制髌骨向外侧滑移的稳定结构。当此韧带损伤时,髌骨就可能发生脱位或者半脱位,引起膝关节肿胀、疼痛及活动受限,严重时还可引起髌股关节面软骨及膝关节内其它结构损伤。
▲汤女士初次受伤时左膝关节MR提示内侧髌股韧带自股骨端撕脱
长期反复的髌骨脱位,可继发髌股关节骨关节炎,表现为膝关节前方弥漫性疼痛,上下山、上下楼梯时尤为明显,严重影响患者的日常生活和体育活动。
北京专家千里驰援,为手术保驾护航
由于保守治疗无法在根本上解决髌骨不稳的问题,整日提心吊胆的汤女士决心接受手术。恰逢国内顶级运动医学专家刘玉杰教授莅临中山七院交流,他为汤女士进行了专科查体,并详细阅读了她的影像资料。
对于复发性髌骨脱位,绝大多数患者需要手术治疗。目前有上百种手术方式用于髌骨不稳的治疗,手术方式的选择需结合专科查体、影像学资料及患者的需求进行综合考虑。随着关节镜技术的发展,关节镜辅助下治疗复发性髌骨脱位已成主流选择。
针对汤女士的病情,刘玉杰教授认为应取左膝半腱肌腱移植重建内侧髌股韧带。9月6日,联合刘玉杰教授和中山七院骨科团队一同为汤女士进行了手术。
术后当天患者就能下地活动了
由于采取关节镜微创手术,术后当天汤女士就可以下地活动了。医生介绍,通常情况下术后2-3周可进行完全负重行走,3个月后可进行慢跑,术后6个月可重返运动。
医生介绍,在移植肌腱最终固定前,需要确定移植肌腱的合适张力:“张力如果太小,限制髌骨外移的作用有限,术后仍会存在髌骨不稳;而张力如果太大,又会影响屈伸膝关节过程中髌骨在股骨滑车上的滑移,从而导致膝关节屈伸受限。”
因此,确保移植肌腱最终的合适张力是手术的难点。术中,团队首先拉紧移植的肌腱,向髌骨施加应力,一点点调节其被动滑动距离,并再次通过关节镜检确认屈伸膝过程中髌骨在合适的轨迹活动后,最后才用螺钉固定,为汤女士移植肌腱设置了合适张力。
▲汤女士术后恢复
据了解,这是中山七院开展的首例膝关节镜手术。随着中山七院“三名工程”工作的全面推进,中山七院骨科将不断加强与国内外知名医疗机构的交流与合作,不定期选派科室技术骨干外出学习,推动科室人才队伍建设,勠力同心、锐意进取、实现专科大发展,为广大患者提供优质医疗服务。
小贴士:
1、髌骨脱位必须手术吗?
对于首次髌骨脱位可考虑保守治疗,急性期制动消肿后,可予髌骨固定带固定髌骨,助行器辅助下地活动,并在医生指导下进行功能锻炼,固定6-8周后可逐渐恢复运动。
经保守治疗后髌骨不稳,甚至再次脱位者,应考虑手术治疗。对于复发性髌骨脱位,目前主张手术治疗。长期反复的髌骨脱位,不仅影响生活质量,而且可导致膝关节软骨损伤,继发髌股关节骨关节炎。
2、复发性髌骨脱位手术疗效如何?
目前,复发性髌骨脱位手术方式很多种,手术方式的选择需专科医生进行综合考虑,随着关节镜技术的发展,关节镜辅助下微创治已成主流选择。
只要是治疗的方法正确,再加上适当的康复和正确的功能锻炼,通过手术恢复髌骨稳定性、重返运动是完全可能的。
3、髌骨脱位术后恢复需要多长时间?
术后康复时间需结合手术方式和患者个体因素综合考虑,通常,术后即可在支具保护下负重行走,术后6个月可重返运动。
读创编辑文灿