19岁少年遇车祸右肾摔成4瓣,医生物理降温缝合保肾

原创读创健康  2020/01/19 14:09

读创/深圳商报记者 文灿 通讯员 丁梦婷 郑天心

2019年年尾的一天,19岁小叶飞来横祸,遭遇了一场车祸,造成右肾碎裂伤(V级肾损伤),被医生告知他必须切除右肾。车祸第二天,经朋友推荐小叶来到中山大学附属第七医院泌尿外科,该院医生通过物理降温的方式,帮他缝合保住了右肾。

19岁青年突发车祸,右肾难保

年仅19岁的汕尾人小叶,在快要结束2019年的打工,怀揣着归乡心情的一个休息日,骑着电动车出门加班。万万没想到飞来横祸,小叶遭遇了一场车祸,为了躲避斜后方汽车,他正面撞上了马路护栏,被120急救车当场运送至外院就诊。医生告知他必须切除右肾,以防失血性休克危及生命。这一消息对他来说无异于晴天霹雳,正当小叶和他的家属一筹莫展之际,朋友推荐他们来到了中山七院。由于家属的决断犹疑,转院已是车祸第二天。

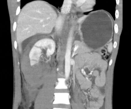
小叶在中山七院急诊进行了影像学检查,检查发现他的右肾下极碎裂,右肾多处裂伤,右肾周巨大血肿。经七院泌尿外科二值会诊后即刻转入泌尿外科病区。泌尿外科主任庞俊指示,密切观察小叶的生命体征、血常规、尿液颜色。庞俊主任带领科室骨干与麻醉科同事立刻进行了术前讨论,虽然小叶的右肾严重碎裂,术中大出血风险极高,保肾难度极大,但考虑到他年纪轻,医生们定下了尽可能保留肾脏的手术方案。

开刀就像给豆腐剥皮,精确到毫厘之间

在七院手术麻醉中心的高效配合下,术前准备一切就绪。一场保肾的攻坚战打响了。此次手术行开放手术探查,庞俊主任主刀。术中探查正如CT图片所看到的那样,肾脏下极完全离断,肾门处也有两块碎裂肾组织,肾脏分裂为4部分。医生在开放进入腹膜后腔后物理降温(用冰水),在不打开肾周围筋膜情况下阻断肾蒂,阻断了肾脏的血供,避免肾周筋膜打开后引起大出血。为了避免时间太长组织可能会缺血坏死,这要求主刀医生必须在极其有限的时间内(热缺血时间尽可能不超过30min)清除血肿,缝合肾组织创缘。

小叶右肾术前CT图片

医生在术中先是清除了血肿和完全碎裂的部分肾组织,分层修复集合系统和肾裂口,尽可能保留正常肾组织。物理降温情况下阻断肾蒂约35min,完成血肿清除与肾组织的修复与缝合。术中出血少,术后生命体征平稳

小叶右肾术后CT图片

手术顺利完成,1周后,小叶复查了CT平扫,图片显示右肾仍保留超过2/3的体积,肾周血肿情况消失,小叶恢复顺利。“感谢庞主任团队!”小叶及其家属难掩心中的喜悦与感激之情。

庞俊主任说:“作为中山大学的附属医院及区域医疗中心,我们有能力应对各种急重症、疑难杂症的诊治,我们有能力完成高难度、高风险手术,尽量做得尽善尽美,我们一直在践行满足人民对美好医疗的向往的奋斗目标。泌尿外科将继续不忘初心,努力前行。”

读创编辑任建新